見えない矯正×見える未来
丁寧に向き合う120分のカウンセリングで
“理想のあなた”をデザインします。
世界で1700万人以上が選んだ、
透明で目立たない歯列矯正「インビザライン」
その実力と信頼性は、世界中の患者様に支持されていることからも明らかです。
当院では、世界中のドクターに指導を行うほどの高度な技術と知識を兼ね備えた、インビザライン社公認の指導医が治療を担当します。
また、年間400件以上の矯正治療を達成しなければ取得できない「ブラックダイヤモンド」ステータスを保持。
豊富な経験と精緻な診断力により、患者様一人ひとりに最適なオーダーメイド治療プランをご提案します。
しっかりとした結果を求める方にこそ、当院をお選びいただきたい。
心を通わせる丁寧なカウンセリングと共に、アラインだから叶う、あなただけの矯正プランをご体験ください。
こんなお悩み、ありませんか?
実は、歯並びのせいで
笑えない・話しづらい・疲れやすい…
そんな方が増えています。
矯正をしないことで起こるデメリット

Demerit
01
見た目や相手へ与える印象
歯並びに自信が持てないと、笑顔に自信が持てなくなる人が多いです。 歯並びが悪いと口を開けて笑いにくくなり、対人関係に良くない影響が出てきます。そして、相手へ与える第一印象が悪くなる可能性が高まり、時には清潔感が損なわれたり、不健康に見られることもあります。また就職活動や接客などで不利になる場合も多いと言われています。
印象
Demerit
02
口腔内の健康リスク
歯並びが悪いと歯ブラシが届きにくくなり、磨き残しが増えるため、汚れがたまりやすく、口の中が不衛生になりやすく、虫歯や歯周病になるリスクが高まりますし、口臭の原因にもなります。
また不正咬合だと特定の歯に負担がかかり、すり減ったり割れたりしやすくなり、歯が早くダメになりやすくなります。
健康
Demerit
03
噛み合わせの問題
歯並びが悪く、かみ合わせが悪いと食べ物が噛みにくく、消化にも悪影響が出て、消化不良や胃腸への負担につながることもあります。
顎関節症(がくかんせつしょう)のリスクが高まり、 顎が痛む、音が鳴る、口が開けにくいなどの症状も出てきます。
人によっては、発音がしづらくなる場合もあり、 特定の音が出しにくく、滑舌に影響も出てきます。
噛み
合わせ
Demerit
04
身体全体への影響
噛み合わせのズレや顎のズレが首や背骨にも影響します。そして身体全体のバランスにも影響を及ぼし、姿勢が悪くなり、肩こり・頭痛の原因になることが分かっています。
ゆがみ
Demerit
05
将来の治療費が高額に!
早い段階で矯正治療をしておけば、防げたであろう虫歯や歯周病、そして、インプラントなどの高額な治療費がかかるリスクが無くなります。
また嚙み合わせが悪いと入れ歯やブリッジの必要性が早まる可能性があります。
将来性
だからこそ知って欲しい
「歯並び(歯列矯正)」のことを・・・
歯並びは、私たちの見た目だけでなく、健康や日々の生活にも密接に関わっています。
それでも「大人になってから矯正なんて…」と感じていた方も多いのではないでしょうか。
でも実は、30代・40代から矯正を始める方も年々増えています。
歯並びが整うことで、自信のある笑顔や、整った輪郭、快適な毎日を手に入れたという声がたくさん届いています。
年齢にとらわれず、きれいに前向きに生きたいあなたへ。
今こそ、歯並び矯正の新しい選択肢を知ってみませんか?
CONTACT
マウスピース矯正のプロである院長が、一人ひとりに寄り添い丁寧に対応いたします。
まずは、カウンセリング へお越しください。
REVIEW
患者さまの声
矯正と楽器の両立を叶え、プロの奏者として
より安定した演奏を実現
アラインクチュールデンタルオフィスを
選んだ理由は何ですか?
自分でインターネットでマウスピース矯正のクリニックを探していた時に、すごく綺麗でここに行きたいなと単純に思ったことがきっかでした。あとは掲載されていた症例を見て、ここアラインクチュールなら私の歯並びでもワイヤー矯正ではなくマウスピース矯正で治るんじゃないかなと思ったのが理由です。
治療を開始してどうでしたか?
1つずつマウスピースを進めるたびに変わっていく歯並びにワクワクしています。
私は、今年の1月くらいから矯正治療を始めて、現在半年が経とうとしているんですけれど、本当に初めて良かったなって思っています。
インビザラインのマウスピースを1つ進めるたびに歯が動いてるのが分かりますし、マウスピースをつけたままで余裕で楽器を演奏できますし、本当に初めてよかった!の一言ですね。
私が日々感じているのは、歯並びは一生物ということ。
もし今の時点で楽器をやっていたとしても、 自分が健康でいられなくなったら楽器も演奏できなくなってしまいますよね。今だけの一瞬に焦点を当てるのではなく、私はより長くおばあちゃんになっても楽器を演奏することができるように今、矯正治療を始めてすごく満足しています。
もし矯正するのを迷われている方がいるとしたら、マウスピースで矯正するインビザライン矯正を私は全力でおすすめします。
歯並びだけでなく、女性として綺麗になれる。
美意識の高い歯科矯正。 それが、このクリニックを選んだ理由です。
アラインクチュールデンタルオフィスを
選んだ理由は何ですか?
いろいろな歯科医院のカウンセリングを受けるうちに、どの方法がいいか迷い始めてしまって…。
そんなとき、知人に紹介してもらったのが、このクリニックでした。最初のカウンセリングで、まず感じたのは竹内先生の歯科矯正への熱意。さらに、歯並びだけでなく、美容の観点からもアドバイスしてくれる。「こんな先生は初めて!ここなら間違いない」と即決。迷いはすっと消えていきました。
治療を開始してどうでしたか?
クリニックは歯科医院というより、まるで高級エステサロンのような雰囲気。完全個別性なので、子供連れでも迷惑をかける心配がありません。
スタッフのきめ細かい心遣いにも癒されます。治療開始1年後には、自分としては満足できる歯並びに。現在も「完璧」をめざして微調整を続けています。
実は、治療期間中に結婚式を挙げたんです。一生に一度の晴れの日!ホワイトニングもして、最高の笑顔で写真を残すことができました。
アラインクチュールに決めて、本当に心からよかったと思っています。もう10人以上は友人に紹介しているかもしれません(笑)。それくらい信頼していますし、安心しておすすめできる場所です。
クリニックは歯科医院というより、まるで高級エステサロンのような雰囲気。完全個別性なので、子供連れでも迷惑をかける心配がありません。スタッフのきめ細かい心遣いにも癒されます。
結婚後に熊本へ引っ越したんですが、それでも名古屋のクリニックに通い続けることに、迷いはまったくありませんでした。それくらい信頼できるし、自分の歯のことを安心して任せられる場所だと思っています。
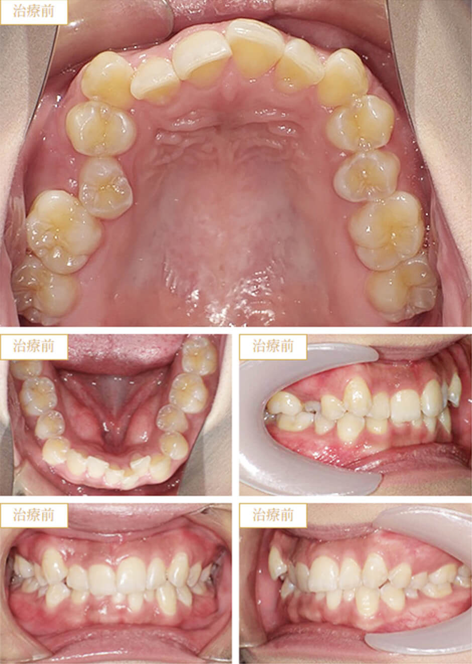
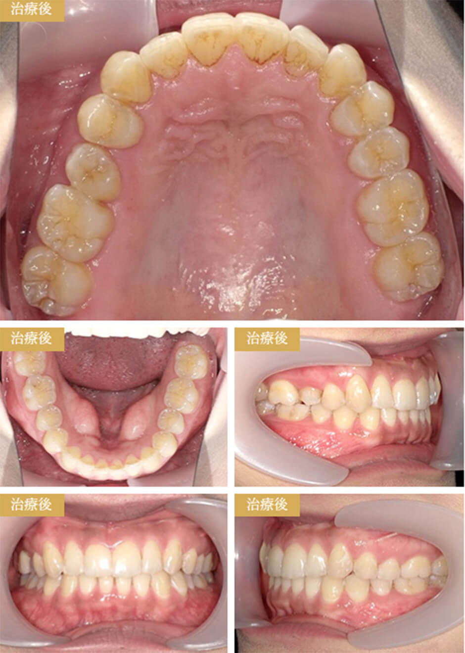
CASE
症例紹介
PRICE
料金
01
初診診察費用
本当に効果のある治療をご提案するため、無料カウンセリングは行っておりません。
¥5,500(税込)
所要時間:120分
患者様の症状を見極めるために、十分にお時間をとって様々な検査を行います。
その検査結果から患者様に合った治療法をドクターより説明します。
02
オーダーメイド治療計画作成
(初診診察を終え、ご希望される方のみ)
¥49,500(税込)
スキャニングデータ、レントゲンの分析データを元にドクターが診断を行い、オーダーメイド治療計画を作成させていただきます。
こちらを見ることで、治療前から矯正治療全体のイメージを掴むことができます。
03
インビザライン矯正治療費
患者様のご要望や症状に合わせて
5段階のプランをご準備しております。
1
インビザライン・エクスプレス
一括 522,900円(税込)
(分割 5,100円~)
治療期間の目安:6か月前後
2
インビザライン・ライト
一括 695,200円(税込)
(分割 6,800円~)
治療期間の目安:10か月前後
3
インビザライン・エクスプレス
一括 792,080円(税込)
(分割 7,900円~)
治療期間の目安:16か月前後
4
インビザライン・
コンプリヘンシブ
一括 946,440円(税込)
(分割 9,300円~)
治療期間の目安:18か月前後
5
インビザライン・
コンプリヘンシブ プラス
一括 1,056,440円(税込)
(分割 10,500円~)
治療期間の目安:24か月前後
遠心移動を伴う症例や抜⻭症例など
難易度の高い場合に適用されます。
分割は最大120回までご選択できます。
①〜⑤すべてに保定・リテーナー(矯正治療後の保定装置)の費用も含まれております。
FEATURES
アラインクチュールデンタルオフィスが
選ばれる理由
01

圧倒的な実績!
インビザラインステータス
ブラックダイアモンド
8年連続で「ダイアモンドステータス」を獲得
世界の上位1%の歯科医師だけが認定される
「ブラックダイアモンド」に選ばれる
日本人ドクターとして初の世界シェア第1位の実績(ファースト部門2019年)をもち、治療実績による評価では最高峰とされるダイアモンドステータスを8年連続(2017~2024年)で取得しております。
また、2024年は世界の上位1%の歯科医師だけが認定される「ブラックダイアモンド」に選ばれました。
02

理事長は
インビザライン社公認の
指導医
理事長はインビザライン社から直接依頼を受け、インビザライン治療を提供している歯科医師に、診療の助言や情報提供を行う講師(ファカルティ)です。
そのため、最新の治療技術や知見をいち早く把握しており、患者さん一人ひとりに最適なマウスピース矯正をご提案できます。また、全国の歯科医師への指導を通じて培った豊富な経験を活かし、複雑な症例にも柔軟に対応いたします。安心して治療を受けていただけるよう、科学的根拠に基づいた丁寧な診療を心がけています。
03

120分の贅沢な
カウンセリングで、
“納得して始められる矯正”
他院では、30分ほどの無料相談のあと、別日に精密検査・治療説明…という流れが一般的ですが、アラインクチュールデンタルオフィスでは、初回の診察・カウンセリングに最大120分をかけています。
・レントゲンやCT撮影、口腔内写真・顔写真の撮影
・3Dスキャンによる歯型の取得
・担当医師による診察と問診
・カウンセリング専門スタッフによるご案内
すべてのステップを初回で行い、あなたに最適な治療計画をその場でご提案いたします。
「矯正は不安」「失敗したくない」と思っている方にこそ、私たちの“本気の初診”を受けてほしい。
安心して一歩を踏み出せるよう、丁寧さとわかりやすさにこだわっています。
04

オーダーメイド治療計画で
なりたい自分をイメージ
初診診察を終え、ご希望される⽅のみオーダーメイド治療計画を作成させていただきます。
・シミュレーション動画による歯並びの変化
・治療終了後の⻭並び
など、治療をしていくとどのように歯が動いていくのか、フェイスラインやスマイルラインはどう変化していくかなどをしっかりとご説明いたします。
この計画書は治療をしていくうえで、とても重要です。
マウスピースの動き方を設計する医師の技術が必要不可欠です。
矯正治療のゴールを患者様と十分に話し合い、患者様一人ひとりにあった治療計画をたてていきます。
05

リラックスできる
ラグジュアリーな空間
まるで高級エステサロンのような雰囲気。完全個別制なので、子供連れでも迷惑をかける心配がありません。
COUNSELING
カウンセリングの流れ
step01
ご予約
電話・「WEB予約」よりお問い合わせください。
step02
日時の確定
「WEB予約」の場合、担当スタッフより、お電話かメールにて日程調整を行います。
step03
ご来院
電車の場合は、「栄駅」「久屋大通駅」から徒歩5分。お車の場合は、近くのコインパーキングをご利用ください。
step04
問診表の記入
気になることなどをご記入ください。
step05
精密検査
レントゲン、CT、お口の写真、口腔内スキャナでお口全体のチェックをします。
step06
治療のご説明
当院のことやインビザラインのこと、治療の流れなどをコーディネーターがご説明します。
step07
診察・ご質問
資料と診察をもとに患者様の疑問や不安点にお答えします。
step08
次回予約
想定されるいくつかの治療計画を作成してもらい、ご説明を受けたい方は次回の予約を取っていただきます。
FAQ
よくあるご質問
Q
大人でも矯正できますか?
はい、もちろん可能です。
最近では20代〜50代の方まで、幅広い年代の方が矯正を始めています。歯や歯茎の健康状態が良ければ、何歳でも矯正治療は可能です。
Q
どれくらいの期間がかかりますか?
ダミーテキストダミーテキストダミーテキストダミーテキストダミーテキストダミーテキストダミーテキストダミーテキストダミーテキストダミーテキストダミーテキストダミーテキストダミーテキストダミーテキストダミーテキストダミーテキスト
Q
矯正は痛いと聞いたのですが…?
ダミーテキストダミーテキストダミーテキストダミーテキストダミーテキストダミーテキストダミーテキストダミーテキストダミーテキストダミーテキストダミーテキストダミーテキストダミーテキストダミーテキストダミーテキストダミーテキスト
Q
費用はどのくらいかかりますか?分割はできますか?
ダミーテキストダミーテキストダミーテキストダミーテキストダミーテキストダミーテキストダミーテキストダミーテキストダミーテキストダミーテキストダミーテキストダミーテキストダミーテキストダミーテキストダミーテキストダミーテキスト
Q
見た目が気になるのですが、目立たない矯正はありますか?
ダミーテキストダミーテキストダミーテキストダミーテキストダミーテキストダミーテキストダミーテキストダミーテキストダミーテキストダミーテキストダミーテキストダミーテキストダミーテキストダミーテキストダミーテキストダミーテキスト
GREETING
理事長挨拶
理事長
竹内 敬輔
KEISUKE TAKEUCHI
テキストテキストテキストテキストテキストテキストテキストテキストテキストテキストテキストテキストテキストテキストテキストテキストテキストテキストテキストテキストテキストテキストテキストテキストテキストテキストテキストテキストテキストテキストテキストテキストテキストテキストテキストテキストテキストテキストテキストテキストテキストテキストテキストテキストテキスト
テキストテキストテキストテキストテキストテキストテキストテキストテキストテキストテキストテキストテキストテキストテキストテキストテキストテキストテキストテキストテキストテキスト
所属学会・学会
公益社団法人 日本矯正歯科学会
近畿東海矯正歯科学会
特定非営利活動法人 日本成人矯正歯科学会
公益社団法人 日本小児歯科学会
日本咬合育成研究会
JSPP 全国小児歯科開業医会
名古屋臨床小児歯科研究会
日本歯科医師会
一般社団法人 愛知県歯科医師会
一般社団法人 東海市歯科医師会
医療共済会
矯正治療実績
8年連続 ダイアモンドステータス受賞
アラインテクノロジー社 ファカルティドクター
FORM
メール問い合わせ